Стало звичним бачити оголошення з проханням допомогти зібрати кошти на лікування дитини чи тяжкохворої дорослої людини. Родичі часто неспроможні знайти великі кошти на лікування й звертаються до людей з проханням про допомогу.
Не пройшло горе повз співробітника університету – чергового навчального корпусу №7 БЕСПАЛЬЧЕНКА СЕРГІЯ ВАЛЕНТИНОВИЧА.
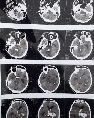
Сергій Валентинович потребує допомоги на лікування геморагічного інсульту (внутрішньомозковий крововилив).
Для рідних самостійно знайти таку суму грошей важко. Вони звертаються по допомогу до небайдужих!
Реквізити для допомоги:
Номер карти Приватбанку 5168 7573 9157 6636 Беспальченко Вікторія (дружина)
Телефон +380965995565 Беспальченко Алла (донька)



